医療ホワイトニング
Medical Whitening
医療ホワイトニングとは、歯科医院で行われるオフィスホワイトニング、
歯科医師または歯科衛生士の指導のもとご自宅で行うホームホワイトニングのことです。
施術に使用する薬剤などは異なりますが、
いずれも施術は歯科医師の管理下で安全性を重視して行われます。
オフィスホワイトニングとは

歯科医院で歯科医師もしくは歯科衛生士が専用の器具を用いて施術するホワイトニング治療です。
歯科で行うオフィスホワイトニングは、自宅でホワイトニング歯みがきを使用して表面だけ白くするのとは異なり、内部の沈着した色素を分解して中側から白くします。
低刺激&安全&高い効果の
薬剤を使用
当院では、低刺激で安全で、高い効果が期待できる薬剤ティオンを使用しています。
薬剤のジェルを塗って光照射されるとリアクターの中のV-CATから電子が放出され、ジェルの成分の過酸化水素と反応します。
これにより、多くのヒドロキシラジカルが発生するため、着色物質を効率よく分解します。

オフィスホワイトニングの流れ
-
①診査・診断
歯科用マイクロスコープ(歯科用顕微鏡)を使用することで、肉眼では確認が困難な微細な病変や構造を拡大視野で捉えることができ、より正確な診査・診断・治療が可能になります。

-
②口腔内チェック
- 歯の状態の確認
- 歯ぐき(歯周組織)の検査
- 噛み合わせのチェック
- 粘膜・舌・口腔内全体の観察
- 清掃状態の確認

-
③ホワイトニング部位の清掃
ホワイトニング剤を歯に塗布する前に、歯面にしたしたプラーク(歯垢)・歯石などを除去し、ホワイトニング成分がしっかり歯面に作用するように整えます。
-
④歯肉の保護
歯ぐきを保護するレジンを塗布
薬剤が歯ぐきに触れないよう安全に処置
-
⑤処置
適切な濃度のホワイトニングジェルを歯面に塗布
オフィスホワイトニングでは光を照射して薬剤を活性化
照射時間:10分×3回
-
⑥仕上げ磨き・ミネラル配合ペースト塗布
ホワイトニング剤を除去し、歯面を洗浄
必要に応じてミネラル補強などを行い知覚過敏の予防 -
⑦アフターケアの説明
施術後24時間は着色しやすい飲食物の制限、ホームケアのアドバイス
所要時間:初回2時間 / 2回目以降:1時間半
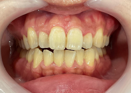
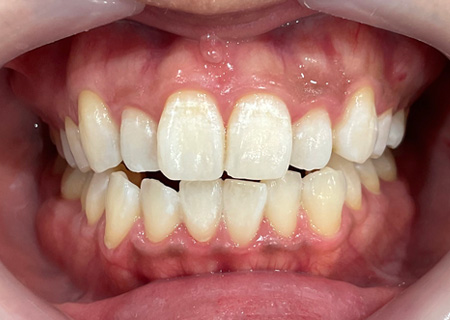
オフィスホワイトニングの症例

- オフィスホワイトニング前

- オフィスホワイトニング2回施術後
オフィスホワイトニングの料金
| オフィスホワイトニング上下 | 29,800円(税込) |
|---|
ホームホワイトニングとは

ホームホワイトニングとは、患者さんがじご自宅で行う歯のホワイトニングのことです。
歯科医院で作製した専用のマウスピース(トレー)とホワイトニングジェルを使って、ゆっくりと自然な白さに導く審美治療です。
ホームホワイトニングの流れ
-
①診査・診断
歯科用マイクロスコープ(歯科用顕微鏡)を使用することで、肉眼では確認が困難な微細な病変や構造を拡大視野で捉えることができ、より正確な診査・診断・治療が可能になります。

-
②口腔内チェック
- 歯の状態の確認
- 歯ぐき(歯周組織)の検査
- 噛み合わせのチェック
- 粘膜・舌・口腔内全体の観察
- 清掃状態の確認

-
③歯の型採り・マウスピース作製
上下の歯型を取り、専用のカスタムトレーを作製
その場でお渡しも可能(予約状況に応じて追加料金でのご対応)
通常1週間前後でお渡し -
④使用方法の説明
作製したトレーとホワイトニングジェルをお渡し
薬剤の使用量・時間・保存方法を詳しくご案内 -
⑤追加のジェル購入
追加のジェル購入、またはすでにマウスピースをお持ちの方は受付にて購入可能となります。
ジェル1本(約5日分) 2,400円(税込)
所要時間:1時間
ホームホワイトニングの料金
| ホームホワイトニング(カスタムトレー付き) | 26,800円(税込) |
|---|
